Greffe gingivale

Vos gencives sont rétractées ou trop fines? Source de gêne esthétique ou de sensibilités au froid ou au chaud, ces problématiques peuvent aussi menacer la stabilité de vos dents à plus long terme. Heureusement, elles peuvent être corrigées grâce à la greffe de gencive, une technique encore peu connue du grand public, mais pratiquée régulièrement par les chirurgiens-dentistes. En quoi consiste une greffe gingivale ? Qui peut en bénéficier, et pour quels résultats ?

Greffe gingivale à Paris 16 | Parodontologie, chirurgien-dentiste | Cabinet dentaire | Dr Alexandre Sarfati

Indications de la greffe gingivale

Qu’est ce qu’une greffe gingivale ?

La greffe gingivale, ou greffe de la gencive, est une intervention de chirurgie dentaire de plus en plus pratiquée pour corriger la récession gingivale. Le geste chirurgical consiste à replacer la gencive à un niveau normal au collet de la dent, et y adjoindre un greffon de gencive prélevé soit derrière la dernière molaire du haut soit au palais. En fonction du type de greffe gingivale, ce greffon est apposé soit sous la gencive soit en surface. Cela permet de corriger la récession, et de masquer tout ou partie de la racine de la dent.

Cette technique poursuit un double objectif esthétique et de santé. En effet, lorsque les gencives se rétractent et découvrent une partie de la racine dentaire, non seulement l’harmonie du sourire est altérée, mais la sensibilité dentaire augmente, et les dents sont plus susceptibles de se déchausser et de tomber. En plus d’offrir une amélioration esthétique du sourire, la greffe gingivale permet donc de renforcer la gencive, ce qui améliore le pronostic des dents à long terme.

Quand réaliser une greffe gingivale ?

La greffe de gencive est principalement indiquée pour traiter la récession gingivale, un phénomène de rétraction de la gencive qui expose la racine de la dent. Souvent multifactorielle, la récession gingivale peut être le résultat:

  • D’un brossage inadapté et trop vigoureux
  • D’une inflammation de la gencive
  • De soins dentaires inadéquats
  • D’un traitement orthodontique trop rapide
  • D’un parodonte naturellement fin et fragile

Loin d’être uniquement esthétiques, les conséquences de la récession gingivale sur la santé bucco-dentaire sont nombreuses. En effet, le recul de la gencive :

  • Diminue la protection de la racine sous-jacente
  • Augmente la sensibilité dentaire
  • Favorise l’érosion de la racine, car celle-ci est moins minéralisée que l’émail dentaire et peut s’user sous l’effet du brossage

La reconstruction de la gencive est également indiquée chez les patients ayant des gencives trop fines, avant ou pendant la pose d’un implant dentaire ou la réalisation d’un traitement orthodontique. Enfin, un épaississement de la gencive peut aussi être indiqué pour améliorer l’intégration esthétique d’un bridge.

Comment se déroule une greffe gingivale chez le Dr Alexandre Sarfati ?

Chirurgien-dentiste expérimenté, le Dr Sarfati pratique la greffe de gencive à Paris sur de nombreux patients, avec d’excellents résultats esthétiques et fonctionnels.

Effectuée au cabinet dentaire du Dr Sarfati, la greffe gingivale est réalisée sous anesthésie locale. Après avoir préparé le site receveur en donnant de la mobilité à la gencive (greffe conjonctive enfouie) ou en ayant mis à nu la gencive (greffe gingivale libre), le chirurgien-dentiste prélève le greffon de gencive derrière la seconde molaire du haut ou au palais, en fonction des quantités nécessaires. Le greffon est ensuite glissé sous la gencive et l’ensemble suturé en bonne position (greffe conjonctive enfouie) soit suturé en surface (greffe gingivale libre).

La procédure est rapide; il faut généralement compter entre 1h et 1h30. Suite à une greffe gingivale, il n’est pas rare de ressentir un certain inconfort. Des antalgiques sont prescrits pour soulager la douleur, et les patients doivent privilégier une nourriture molle et froide pendant quelques jours.

Les résultats après une greffe gingivale

La greffe de gencive est une intervention rapide et efficace, qui offre des résultats très satisfaisants. Le résultat dépend de l’ampleur de la récession gingivale traitée, avec un recouvrement partiel ou total de la racine dentaire exposée.

Cette technique, qui consiste à apporter la propre gencive du patient, offre un rendu tout à fait naturel, avec une très bonne intégration esthétique. Les patients sont très satisfaits de retrouver un beau sourire, avec une diminution de la sensibilité dentaire et un risque réduit de déchaussement des dents.

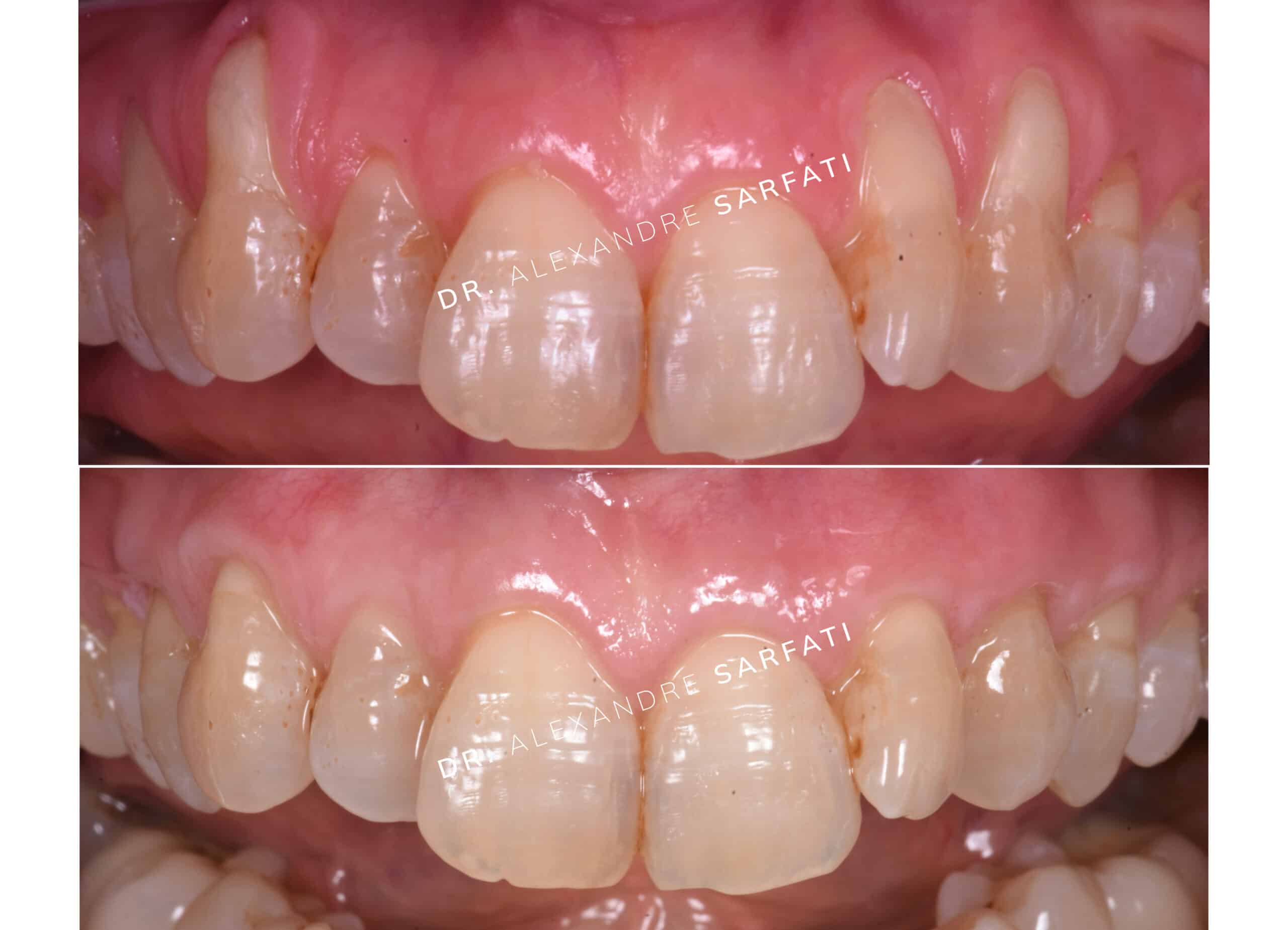
  • Greffe gingivale

    Photo avant : récessions gingivales touchant la canine et la molaire. La gencive est rétractée et affinée, les racines dentaires sont exposées et le contour gingival est irrégulier.

    Photo après : les racines sont recouvertes et la gencive épaissie, les contours gingivaux sont plus harmonieux.

  • Greffe gingivale

    Photo avant : récession gingivale touchant la prémolaire. La gencive est rétractée et affinée, la racine dentaire est exposée et légèrement usée.

    Photo après : la racine est recouverte et la gencive épaissie, la racine est protégée.

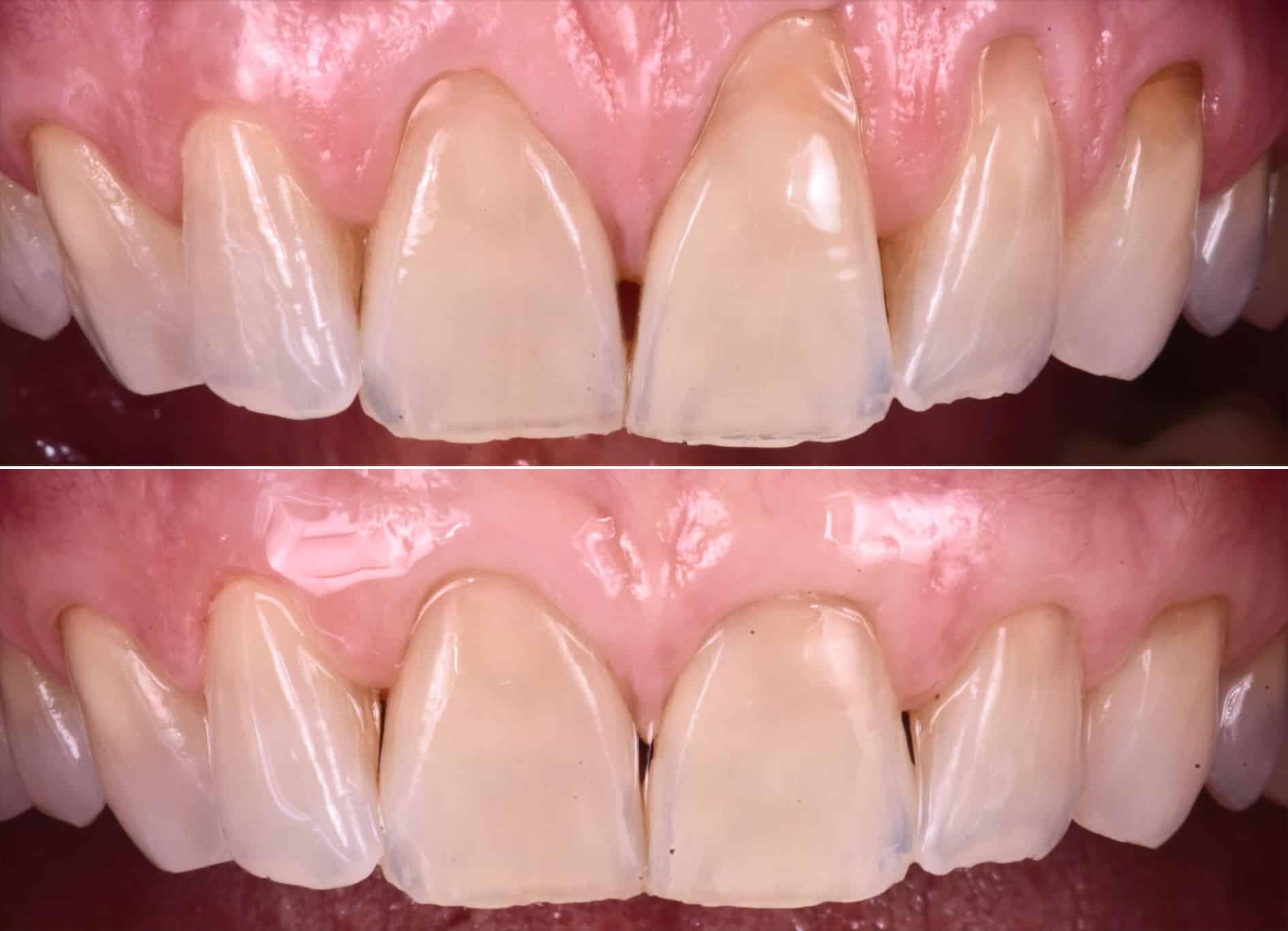
  • Greffe gingivale

    Photo avant : récessions gingivales touchant les canines et incisives maxillaires. La gencive est rétractée et affinée, les racines dentaires sont exposées et le contour gingival est irrégulier. Un autre dentiste a par le passé recouvert les racines avec de la résine composite, n’améliorant ni la dysharmonie esthétique ni la santé gingivale.

    Photo après : les résines composites ont été déposées, les racines sont recouvertes par la greffe et la gencive épaissie, les contours gingivaux sont plus harmonieux.

  • Greffe gingivale

    Photo avant : récessions gingivales touchant la prémolaire maxillaire. La gencive est rétractée et affinée. Aussi, la racine exposée est usée par le brossage, on note un béquet à la jonction entre la racine et la couronne dentaire

    Photo après : la racine est recouverte par la greffe et la gencive épaissie, les contours gingivaux sont plus harmonieux.

1/4

Tarif d’une greffe gingivale chez le Dr Alexandre Sarfati

Le prix de la greffe de gencive dépend de plusieurs paramètres, à commencer par l’ampleur du site à traiter. Cette intervention est codifiée par la sécurité sociale mais n’est pas remboursée par celle-ci ; en revanche, certaines mutuelles la prennent en charge.